Metabolic Arthropathies

  • Home
  • Treatments
  • Autoimmune Rheumatic Diseases
Metabolic Arthropathies disease Image
Metabolic Arthropathies

Managing Metabolic Arthropathies for a Healthier Future

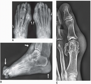
Metabolic Arthropathies are joint disorders caused by abnormalities in the body’s metabolism, most commonly due to crystal deposits such as uric acid (gout) or calcium pyrophosphate (CPPD/pseudogout). These deposits trigger inflammation in the joints, leading to sudden pain, swelling, and redness. Gout often affects the big toe, while pseudogout may involve the knees, wrists, or ankles. These conditions are more common in middle-aged and older adults and may be associated with other metabolic conditions like diabetes or kidney disease. Unlike autoimmune arthritis, metabolic arthropathies are driven by biochemical imbalances, and flare-ups can be intense and disabling if not managed appropriately.

Although symptoms may come and go, metabolic arthropathies can cause long-term joint damage if left untreated. Management focuses on reducing inflammation during attacks and lowering crystal levels through medications and dietary changes. With proper care—including uric acid control, lifestyle modification, and follow-up—most patients can lead active, pain-free lives and avoid future joint complications.

Metabolic Arthropathies symptoms

Metabolic Arthropathy Symptoms

Metabolic Arthropathies are joint disorders caused by the buildup of metabolic crystals like uric acid or calcium pyrophosphate, leading to painful inflammatory episodes.

  • Sudden onset of joint pain and swelling, commonly in the big toe, knee, or ankle.
  • Redness and warmth over the joint due to intense inflammation during flares.
  • Limited joint movement and tenderness, especially during or after an acute attack.
  • Recurrent flare-ups that may become more frequent if left untreated over time.
  • Chalky crystal deposits (tophi) or joint deformity in advanced, chronic stages.

Diagnosis

Diagnosing Metabolic Arthropathies involves clinical evaluation, joint fluid analysis, blood tests, and imaging to detect crystal deposits and rule out other joint diseases.

  • Doctors examine joints for redness, swelling, warmth, and history of acute attacks.
  • Blood tests check uric acid levels (for gout) or calcium/phosphate levels (for CPPD).
  • Joint aspiration helps identify urate or calcium pyrophosphate crystals under a microscope.
  • X-rays may show soft tissue swelling, joint erosion, or crystal deposits (chondrocalcinosis).
  • Ultrasound can detect double contour signs and tophi in joints or tendons.
  • Advanced imaging like DECT (dual-energy CT) visualizes urate crystals in deeper tissues.

Treatment Options

Metabolic Arthropathies are managed through medications, lifestyle changes, and supportive care to control inflammation, prevent crystal formation, and protect joint health.

  • Anti-inflammatory medications like NSAIDs or colchicine help relieve acute flare-ups.
  • Urate-lowering therapies such as allopurinol or febuxostat are used in chronic gout.
  • Lifestyle changes include hydration, weight control, and avoiding purine-rich foods.
  • Resting affected joints during attacks helps reduce pain and prevent further stress.
  • Routine monitoring and lab tests ensure effective uric acid control and medication response.

Therapy & Support

Supportive therapies play a vital role in managing pain, preventing joint stiffness, and maintaining function in people living with Metabolic Arthropathies.

  • Physiotherapy helps restore joint flexibility, reduce stiffness, and prevent long-term damage.
  • Dietary guidance supports uric acid control by limiting purine-rich and high-sugar foods.
  • Ongoing monitoring helps track flares, adjust medications, and prevent joint complications.
Metabolic Arthropathies treatment in trivandrum
Metabolic Arthropathies specialist