Haemophilic arthropathy

  • Home
  • Treatments
  • Autoimmune Rheumatic Diseases
Haemophilic arthropathy disease Image
Haemophilic arthropathy

Helping You Feel Better with Haemophilic arthropathy

Haemophilic Arthropathy is a joint condition that results from repeated bleeding into the joints, commonly seen in individuals with haemophilia. Over time, this bleeding damages the cartilage and joint lining, leading to pain, stiffness, and reduced mobility. The most commonly affected joints include the knees, elbows, and ankles. The condition typically begins in childhood for those with moderate to severe haemophilia and progresses without proper treatment. Unlike inflammatory arthritis, haemophilic arthropathy is caused by mechanical damage due to bleeding episodes. Early treatment and preventive care can help reduce joint damage and preserve function.

While joint damage from haemophilic arthropathy is not reversible, management strategies can reduce pain and improve mobility. These include factor replacement therapy, physiotherapy, and in some cases, surgery. Regular monitoring and early intervention are essential to prevent progression and maintain quality of life.

Haemophilic arthropathy symptoms

Haemophilic Arthropathy Symptoms

Haemophilic Arthropathy is a chronic joint condition caused by repeated bleeding into joints, commonly seen in people with moderate to severe haemophilia.

  • Joint swelling and warmth, often affecting knees, elbows, or ankles after bleeding.
  • Stiffness or limited range of motion, especially in the early morning or after rest.
  • Chronic joint pain that worsens with movement or physical activity over time.
  • Muscle weakness or imbalance around the affected joints due to disuse.
  • Joint deformity or instability in severe cases with repeated untreated bleeds.

Diagnosis

Diagnosing Haemophilic Arthropathy involves assessing joint history, clinical examination, imaging, and blood tests in individuals with known haemophilia and recurrent joint bleeds.

  • Doctors evaluate joint swelling, stiffness, and pain linked to past bleeding episodes.
  • Blood tests confirm clotting factor deficiencies (Factor VIII or IX levels).
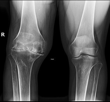
  • X-rays may show joint space narrowing, bone erosion, or joint deformity.
  • Ultrasound detects early signs of synovitis or fluid in affected joints.
  • MRI is used to assess joint damage severity and cartilage degeneration.
  • Joint assessment scores help monitor disease progression and treatment response.

Treatment Options

Haemophilic Arthropathy requires a combination of preventive care, joint protection strategies, and medical management to reduce pain, preserve mobility, and avoid joint damage.

  • Clotting factor replacement helps stop or prevent bleeding into affected joints.
  • Pain management includes anti inflammatory drugs and targeted physiotherapy plans.
  • Supportive care involves bracing, joint protection, and physical rehabilitation exercises.
  • Rest during flare-ups and joint bleeds helps minimize swelling and further damage.
  • Regular imaging and joint assessments guide long-term care and surgical planning.

Therapy & Support

Supportive therapies and long-term care are essential for managing pain, improving joint function, and enhancing quality of life in individuals with Haemophilic Arthropathy.

  • Physiotherapy improves joint mobility, reduces stiffness, and builds muscle strength.
  • Assistive devices like braces or crutches may help reduce stress on damaged joints.
  • Regular follow-up ensures early detection of joint damage and guides treatment plans.
Haemophilic arthropathy treatment in trivandrum
Haemophilic arthropathy specialist